Teeth Grinding
✓ Doctor-led clinic with 25+ years of experience
✓ Trusted by clients across Cleckheaton, Leeds, Huddersfield, and West Yorkshire
✓ Proven relief for symptoms such as jaw pain, morning headaches, and worn teeth
✓ Safe, minimally invasive procedure
✓ No downtime required
✓ Follow-up reviews included
“I have recently visited Dr Soliman for a consultation where I discussed areas of concern that I wanted treating with Botox. Dr Soliman took the time to listen to me and advise what he felt would be the best treatment. He treated 3 areas with Botox and scheduled me for a review just over 2 weeks later. I wouldn't hesitate to recommend his clinic to anyone and I look forward to my next appointment!” - Charlotte
Call: 0800 0373 974
Email: info@soliderma.com
Address: 69 Bradford Road, Cleckheaton, BD19 3PT
Book your consultation today with our expert aesthetic doctor.
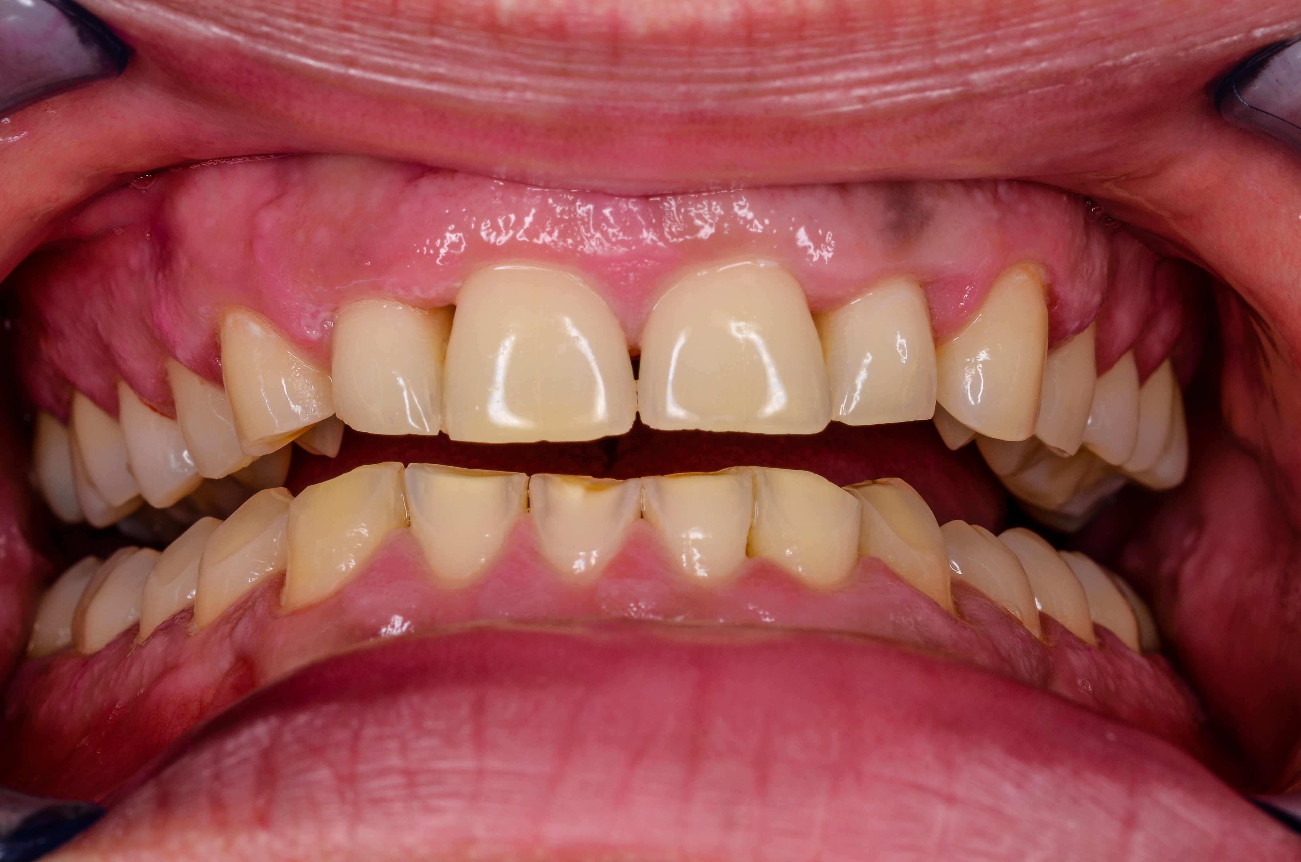
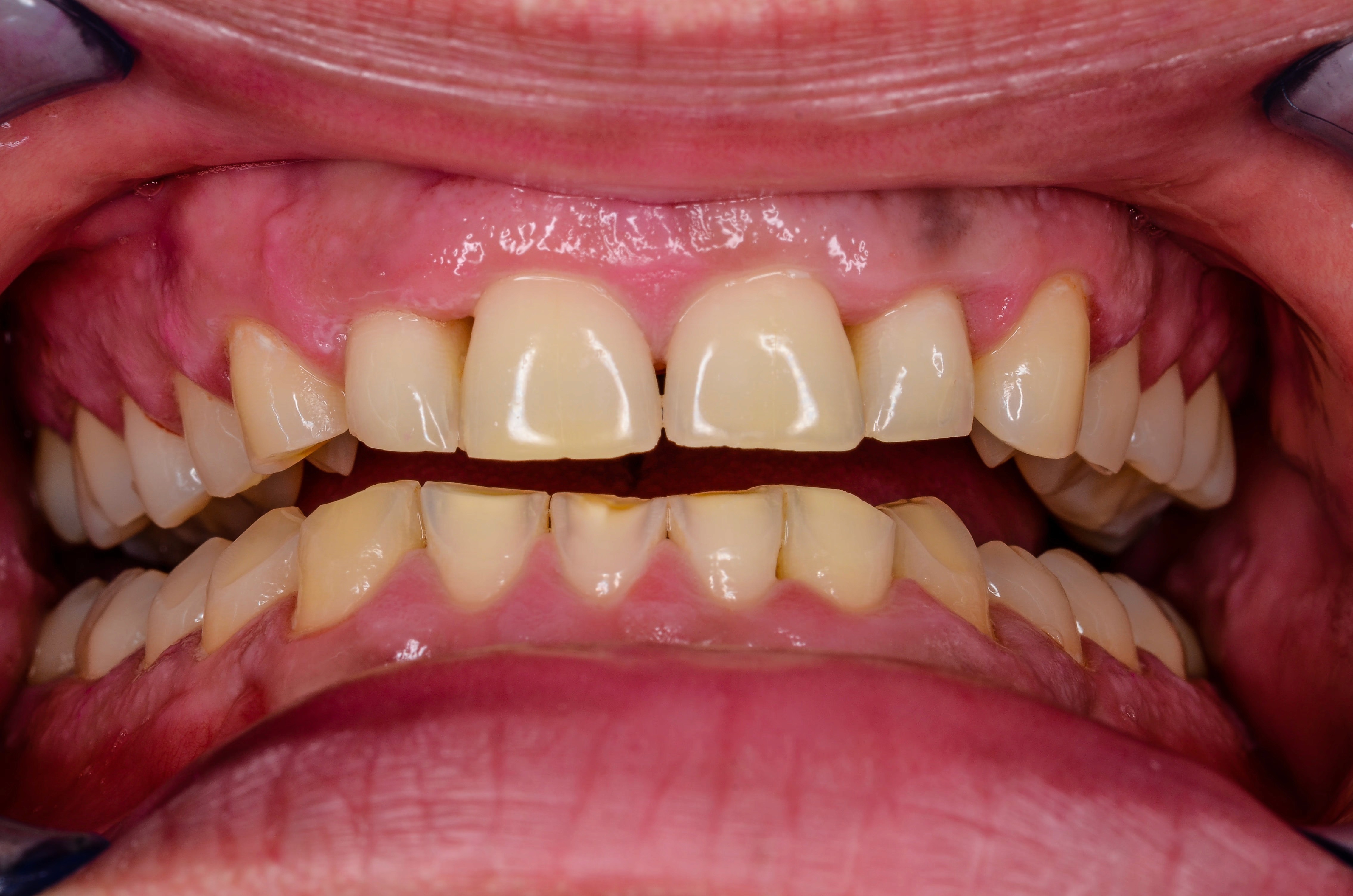
Bruxism, also known as teeth grinding, is a condition in which you unconsciously clench or grind your teeth. It often happens during sleep, which makes it difficult to identify until the symptoms become disruptive.
You may be experiencing bruxism if:
You grind or clench your teeth during the night
You wake with sore jaw muscles or headaches
Your teeth are chipped, worn, or flattened
You feel jaw tension or fatigue when chewing
Your dentist has noticed signs of grinding
Over time, bruxism can lead to significant dental and muscular issues if left untreated.
Anti-wrinkle injections are commonly used for aesthetic purposes, but they also have proven medical applications. When injected into the masseter (jaw) muscles, they reduce the strength of the muscle contraction, helping to ease the overactivity that causes grinding.
This treatment is ideal for patients looking for a long-lasting, non-invasive way to reduce bruxism symptoms and improve sleep quality.
Learn more aboutanti-wrinkle injections in Cleckheaton.
Step 1: Consultation
Our doctor will assess your jaw activity and symptoms to determine if you are suitable for treatment.
Step 2: Treatment
Using ultra-fine needles, small amounts of product are injected into the jaw muscles. The procedure takes less than 20 minutes.
Step 3: Recovery & Results
There is no downtime. Some clients may experience slight swelling or redness, but this settles quickly. Results typically begin to show in 7 to 14 days and last for up to 6 months.
Relieves tension, facial pain, and headache
Preserves normal eating and speaking function
Reduces jaw clenching and night-time grinding
Helps prevent further tooth damage
May enhance facial contouring by softening bulky jaw muscles
Long-lasting results with minimal discomfort
Masseter muscles (lower jaw)
Temporalis muscles (side of the head, if indicated)
Learn more about our related treatments for TMJ Dysfunction or Jaw Slimming at SoliDerma.
At SoliDerma Aesthetic Clinic, we take a medical approach to aesthetics. Our treatments are doctor-led, meaning you’ll always receive professional advice and safe care.
We are proud to serve clients from Cleckheaton, Bradford, Leeds, Huddersfield, and the wider West Yorkshire area, and are known for achieving subtle yet impactful results.
We never offer a one-size-fits-all approach. Every treatment plan is built around your goals, concerns, and health.
How long do results last?
Will masseter injections affect chewing?
How much does ‘Botox’ for the masseter cost?
Is the procedure painful?
Can I get masseter Botox at the same time as other cosmetic treatments?
Will I see a visible change in my face?
Is this treatment safe?
You don’t have to live with nightly teeth grinding and constant jaw tension. Book a consultation with SoliDerma and find out how we can help restore comfort, improve sleep, and protect your dental health.
Explore Our Other Treatments
Opening Times
Monday 10am–8:30pm
Tuesday 10am–8:30pm
Wednesday 10am–8:30pm
Thursday 10am–9:30pm
Friday 10am–5pm
Saturday 10am–9pm
Sunday 11:30am–4:30pm





